R5~6年度 学校の様子

R5~6年度 学校の様子

なかよしタイム

今日の昼休み時間に、なかよしタイムがありました。

それぞれのグループでめあてをつくり、楽しく活動しました。

しんげんち・何でもバスケット・シルエットクイズ・イントロクイズなど6年生が中心となってリードしてくれました。

それぞれのグループめあては達成できたようです。

学校創立150周年記念 フラッグ作り開始

 

創立150周年記念事業として、6年生が商店街に飾るフラッグの作成に取り掛かりました。

事前に自分たちの思いを出し合い、黒板にたくさん素敵な文字が並んでいました。

どのようなデザインが自分の思いにピッタリなのか、タブレットを上手に活用しながら、それぞ

れの想いを下書きに表現していました。

PTAの保護者の方が、フラッグの色塗りの台紙となる段ボール等の準備を進めてくださっています。

どのような作品に仕上がるのかとても楽しみですね。

 

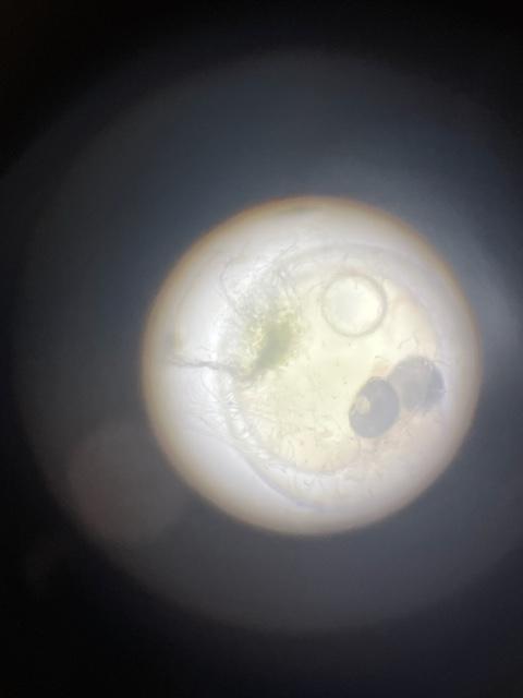
うぁー。すごーい。

5年生が、理科の時間にメダカの卵を観察しました。

もう体ができはじめていて、目や心臓の様子がしっかりと見ることができました。

双眼実体顕微鏡を上手に使いながら、ピントを合わせていました。

見えた瞬間の感動はきっといつまでも忘れないでしょう。

教科書にもきれいな写真は出ていますが、自分の目で命の神秘を感じた時ほど感動は大きいのだ

と思いました。

すくすくと育ってほしいですね。

 

自己決定

今年度の6年生が大切にしていることの一つに、『自己決定』があります。

状況に応じて、自分だったらどうするかを考え、自分の意志で決定し、行動するということです。

津幡小では、毎朝今月の歌を歌っています。

5月は、「ひまわりの約束」です。

各学年を見て回ると、ちらほらと6年生の姿があり一緒に歌っているのです。

一人一人がいろんな思いや願いをもって取り組んでいるのでしょう。

自分で考え自分で行動する姿は、とても凛々しく感じます。

音楽会練習

4年生の器械運動交歓会も大成功で終わりました。

続いて、5年生が音楽機会に向けて本格的な練習に入りました。

一人一人がめあてを持ち、朝の時間や音楽の授業で練習しています。

日々、上達していく姿を目にすることができ、とてもたのもしく嬉しく感じます。

 

チャレンジ

令和5年度がスタートして2か月がたちました。

6年生は、「羽 和 輪 わを意識して」という学年目標に向かって、一人一人が自分のめあてに向かってチャレンジをしています。

今日の5時間目に、どんな取り組みをしてきたのか、今後どうしていきたいのかという話し合いを行いました。

また、チャレンジのよさについても意見が出されました。

・身の回りにいる人たちを喜ばせるチャレンジ

・自分自身に自信や力がつくチャレンジ

があるそうです。

これからも、皆さんのチャレンジを楽しみにしています。

 

津幡町小学校器械運動交歓会

 

 

今日の午後、中条小学校で器械運動交歓会が開催されました。

津幡町から、約350人の4年生児童が集まり、跳び箱・マット・鉄棒の技を披露しました。

最後まで全力に演技をしていました。

本校の児童はもちろん、他校の4年生も真剣に取り組んでいました。

 

校内発表の日には、6年生から応援の動画メッセージが届き、先日のお昼には応援のエール。

そして、今日は4年生のクラス黒板に、応援のメッセージが書かれていました。

6年生のあたたかい心がパワーになりましたね。

みんなありがとう。

 

いよいよ明日が本番

 

いよいよ明日が、器械運動交歓会の本番です。

今日が最後の練習となりました。

明日の本番をイメージしながら、4年生の子どもたちは、みな真剣に取り組んでいました。

さらに嬉しいことは、準備や後片付けがとても素早く上手になったことです。

みんなで助け合う姿は、とても素敵です。

「本番は練習のように」

明日は、自分の持てる力を出し切ってほしいです。

久しぶりの雨

今日は久しぶりの雨降りの日となりました。

登校時には、傘をさしていても濡れてしまうほど強く降ったりもしました。

校舎内も少し蒸し暑く感じます。

植物にとっては、恵の雨のようです。

4年生が種から育てている「ヘチマ・ホウセンカ・ヒマワリ・マリーゴールド」は、とてもうれ

しそうでした。

 

 

読み聞かせ大好き

25日(木)の朝学習時間に、3名のボランティアの方と教職員が本を選び、読み聞かせを行いました。

子ども達はみんな読み聞かせが大好きです。身を乗り出して聞き入る子もいました。

毎月計画していますので、楽しみにしていてくださいね。

ボランティアの皆さんありがとうございます。