新しく統合した「押水小学校」のホームページはこちらです。
押水小学校ホームページURL:https://cms1.ishikawa-c.ed.jp/oshimie/
☆本校は、令和7年3月31日をもって閉校し、令和7年4月1日より「押水小学校(旧相見小学校)」に統合されました。58年もの歴史の中で、1409名の卒業生を輩出いたしました。本校へのご理解ご協力を賜りました皆様に厚く感謝申し上げます。押水小学校で新たなスタートを切った「宝達っ子」を引き続き応援いただきますようお願いいたします。
活動の様子
9月7日 新しい鼓笛隊がスタートしました!!!
新しい鼓笛隊が発足し、練習がスタートしました。今日は、それぞれの楽器の前任者が指導者になって、新しい担当者に指導してくれました。こうやって鼓笛の伝統が受け継がれていくのだなと感心して見ていました。
9月7日 6年 算数教室がありました!!!
1学期に続き2回めの、中西先生の算数教室がありました。今回も、分数をテーマに、子どもたちから「不思議!どうして?」の声が上がるとても素敵な授業でした。
9月6日 3年 アサギマダラ事前学習がありました!!!
3年生は、2学期の総合的な学習の時間に「アサギマダラ」について学習することになっています。今年は、3年後に統合することになっている押水地区3校で交流学習を行うことになりました。今日は、3校の3年生が講師の先生からリモートでお話を聞く授業がありました。どの学校の子どもも真剣にお話を聞いていました。マーキング活動も合同で行う予定です。
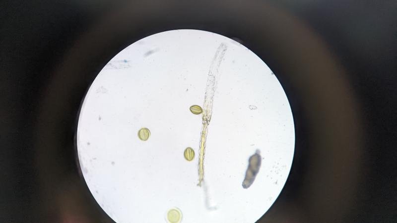
9月7日【SDG's】何という植物の花粉でしょうか???
本日5年生が理科で観察した、ある植物の花粉です。
何という植物かわかりますか?
さて答えは?
「ヘチマ」です。ラグビーボールのような変わった形をしていますね。花粉は植物によって形が違っていますので、とてもおもしろいですね。
9月7日 5年 うまく見つけることができるかな???
5年生が、運動場隅の学級園でお世話していたヘチマが、この大変暑い夏の間に大変大きく育ちました。今日はそのヘチマの花を使って、花粉の観察をしました。とても小さな花粉はなかなか見つけることは大変ですが、中村 勤先生のご指導でどのペアもしっかりと見つけることができました。
9月7日 6年 硬筆書写コンクールの練習!!!
今年度も、全校で硬筆書写コンクールに応募します。お手本をしっかり見て、1字1字丁寧に書いています。活気ある6年生のクラスが静寂に包まれており、集中力の高さにとても感心しています。他の学年も練習に頑張っています。
9月6日 力作が揃っています!!!
夏休みの工作と科学研究です。力作が揃っています。
9月6日 Chromebookを使って!!!
1人1台端末のChromebookを、2学期も積極的に活用していきます。子どもたちはどんどん操作が上達してきました。
9月6日 梅田さんの読み聞かせがスタート!!!
2学期も梅田さんの読み聞かせがあります。1年生からスタートです。
9月6日【SDG's】いろいろな場面で取り組みます!!!
9月5日 ひだまり 豊島先生と勉強しています!!!
8月の終わりから、泉 陽子先生に代わって、豊島圭吾先生がきてくださっています。子どもたちは、若くてスポーツが得意な豊島先生と早く仲良くなってくれると思います。
※土肥先生は、8月末に無事お子さんを出産いたしました。
9月5日 2学期もがんばります!!!
2学期の学習が本格的に始まりました。2学期は、学力も体力も一番伸びる時期です。Chromebookを使ったり、友達と話し合ったりしながら、教科の力をしっかりと身に着けます。
2・3年の学級だよりを掲載しました
2・3年の学級だよりを掲載しました。保護者ページからご覧ください。→ こちら
8月25日 9月の行事予定を掲載しました!!!
9月の行事予定を掲載しました → こちら
【お知らせ】29日のサマースクールについて
新型コロナウイルス感染症新規感染者数高止まりの状況が続いています。各家庭の置かれましては、新型コロナウイルス感染症拡大防止にご理解ご協力を賜りありがとうございます。
さて、夏休みも残り9日となりました。来週のサマースクールでは、夏休みの宿題を提出していただきますので、宜しくお願いいたします。
そのサマースクールについてですが、新型コロナウイルス感染症の拡大状況を踏まえ、次のように変更いたします。
<変更前>
8月29日(月)サマースクール③ 下校時刻10:50
8月30日(火)サマースクール④ 下校時刻11:10
<変更後>
8月29日(月)サマースクール③ 下校時刻10:10
8月30日(火)サマースクール 中止
【お知らせ】もうすぐ奉仕作業です!!
夏休みも後10日となりました。来週、草刈り奉仕作業が予定されています。この夏の高温と大雨でグラウンドの草がかなり伸びていますので、予定通り行いたいと思います。お忙しいとは存じますが、宜しくお願いいたします。
8月21日【SDG's】何という花でしょうか???
校庭のあちらこちらで咲いています。サマースクールと奉仕作業の際に見つけてください。
さて、これは?
「テッポウユリ」ですね。どうも1学期の草刈りで、テッポウユリも刈ってしまったような気がします。反省してます。
8月17日【重要】感染拡大防止にご協力願います
県内及び町内の新型コロナウイルス新規感染者が連日高水準で確認されています。夏休みもあと2週間となりますので、新学期には児童全員が元気に登校できますよう、お子様の感染防止にご配意頂ますようお願いいたします。
【お知らせ】学校閉庁日について
8月11日(木)〜17日(水)の期間は、学校閉庁日となっています。職員は出勤しておりませんので、ご理解ご協力をお願いいたします。緊急の連絡の場合は、宝達志水町教育委員会(29−8300)までお願いいたします。
※土・日及び平日の時間外についても、宝達志水町教育委員会に連絡願います。
8月5日【SDG's】大きく成長しています!!!
プール横の池に何種類か小さい魚を飼っています。5年生が理科で学習した「メダカ」も大きく成長しています。「ヒメダカ」より「クロメダカ」のほうが多いようです。来年もまたよろしくね。
mapfanより引用
| 日 | 月 | 火 | 水 | 木 | 金 | 土 |
30   | 1   | 2   | 3   | 4   | 5   | 6   |
7   | 8   | 9   | 10   | 11   | 12   | 13   |
14   | 15   | 16   | 17   | 18   | 19   | 20   |
21   | 22   | 23   | 24   | 25   | 26   | 27   |
28   | 29   | 30   | 31   | 1   | 2   | 3   |